До и после

Перевтілення посмішки!
Перевтілення посмішки!
Перевтілення посмішки!
  • До Композитні Вініри
  • Після Керамічні Вініри
Перевтілення посмішки!
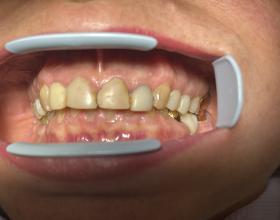
Історія однієї складної усмішки
Перевтілення посмішки!
Видалення/встановлення акрилового протезу
Встановлення керамічних вінірів
Комплексне лікування та протезування
Заміна старих металокерамічних коронок
Нейлоновий іммедіат-протез
Частковий Акриловий Протез
Бюгельний Протез
Металокерамічні Коронки на своїх зубах
Металокерамічні Коронки на Імплантах
Протезування на імплантах!
  • Встановлення металокерамічної коронки
Керамічні Вініри
Цирконієві коронки на імплантах
Протезування на імплантах!
Перевтілення посмішки!
  • Замінили 4 цирконієвих коронок, які раніше були втсановленні в іншій клініці
Комплексне лікування
Встановлення цирконієвих коронок та рестраврація
Частково знімний акриловий протез
Встановлення керамічних вінірів
  • До
  • Після
Встановлення металокерамічних коронок
  • Після
Встановлення металокерамічних конструкцій
  • До
  • Виготовили 12 металокерамічних коронок
  • Колір В1
  • Після
Перевтілення посмішки!
  • До
  • Після
Частково знімні акрилові протези
Встановлення металокерамічних коронок
  • До
  • Після
Перевтілення посмішки!
  • До
  • До
  • Після
  • Встановлення 12 кераамічних вінірів
Встановлення металокераміної коронки
  • До
  • Після (встановлення металокерамічної коронки на 35 зуб)
Встановлення металокерамічної коронки
Перевтілення посмішки!
  • До
  • Після
  • Жувальні зуби відсутні виготовили нейлоновий протез
  • Задоволена пацієнтка своєю усмішкою
Перевтілення посмішки!
  • 4 цирконієві коронки
Перевтілення посмішки!
  • Керамічні вініри
Нейлоновый частичный сьемный протез на верхнюю челюсть
  • Фото до
  • Фото До
  • Фото с протезом после
  • Фото с протезом после
Безметалловая керамическая коронка из Диоксида Циркония на 1.1 зуб ( Цвет D2-D3).
  • Зуб после снятия металлокерамической коронки
  • Установлена временная пластмассовая коронка
  • Определение цвета коронки по шкале VITA
  • Установлена коронка из Диоксида Циркония ( Цвет D2-D3)
4 Керамических винира emax. Закрытие промежутков между зубами (тремы, диастемы). Цвет А2-А3.
  • Фото до
  • Фото до
  • Фото После фиксации виниров
  • Фото После фиксации виниров
Металлокерамика 15з
  • Ситуация До Лечения
  • Снятие разрушенных тканей
  • Цементировка металлической культевой вкладки
  • Цементировка металлокерамической коронки
Виниры на верхних 8 зубах, Цвет А1
  • Ситуация До лечения
  • Ситуация После установки 8 виниров
Металлокерамическая коронка на металлической вкладке(штифте) 15 зуб. Цвет А3.
  • Ситуация До лечения
  • Ситуация До лечения
  • Установлена металлическая культевая вкладка (штифт)
  • Установлена металлокерамическая коронка Цвет А3
Протезирование 4 живых зубов верхней челюсти металлокерамическими коронками
  • Изначальная ситуация до лечения
  • Установка временных коронок после подпиливания своих зубов
  • Установка готовых отдельных металлокерамических коронок на 12-22 зубы
  • Установка готовых отдельных металлокерамических коронок на 12-22 зубы, вид сбоку
Временное протезирование: мостовидный протез на верхней челюсти 23-27 зубы, Цвет А3.
  • До изготовления коронок
  • После установки пластмассового мостовидного протеза
Керамические виниры на верхнюю челюсть 6 шт, цвет B1
  • До постановки виниров
  • После установки 6 Керамических виниров
Протезирование нижней челюсти металлокерамической коронкой на вкладке и нейлоновым сьемным протезом.
  • Изначальная ситуация + поломанный нижний протез
  • Установлена культевая вкладка
  • Установлена металлокерасмическая коронка
  • Изготовлен нейлоновый протез
Мостовидный протез из пластмассы. Цвет А3,5.
  • До лечения
  • До лечения
  • После лечения
  • После лечения
Протезирование: металлокерамика
  • Протезирование 45 зуба металлокерамической коронкой
  • Культевая вкладка
  • Коронка на зубе
  • Коронка в прикусе
Протезирование разрушенного 36 зуба
  • Протезирование 36 зуба
  • Временная пломба
  • Культевая вкладка
  • Металло-керамическая коронка
Нейлоновый иммедиат-протез (бабочка)
  • Отсутствие зуба
  • Нейлоновый иммедиант-протез (бабочка) вид сверху
  • Нейлоновый иммедиант-протез (бабочка) вид снизу
  • Нейлоновый иммендиант-протез (бабочка) - временное протезирование
Реставрация съемного протеза
  • На съемном протезе пациента откололся зуб
  • Отреставрированный протез
Записывайтесь на прием прямо сейчас
и восстанавливайте красоту и здоровье ваших зубов с высоким качеством работы по доступной цене!